how does bone cancer kill a dog
For that reason pet parents should always take symptoms seriously and make. The cause of bone cancer is not known although.
Holistic Vets Explain Natural Treatment Of Cancer In Dogs Dogs Naturally
Tumors can begin either directly in.
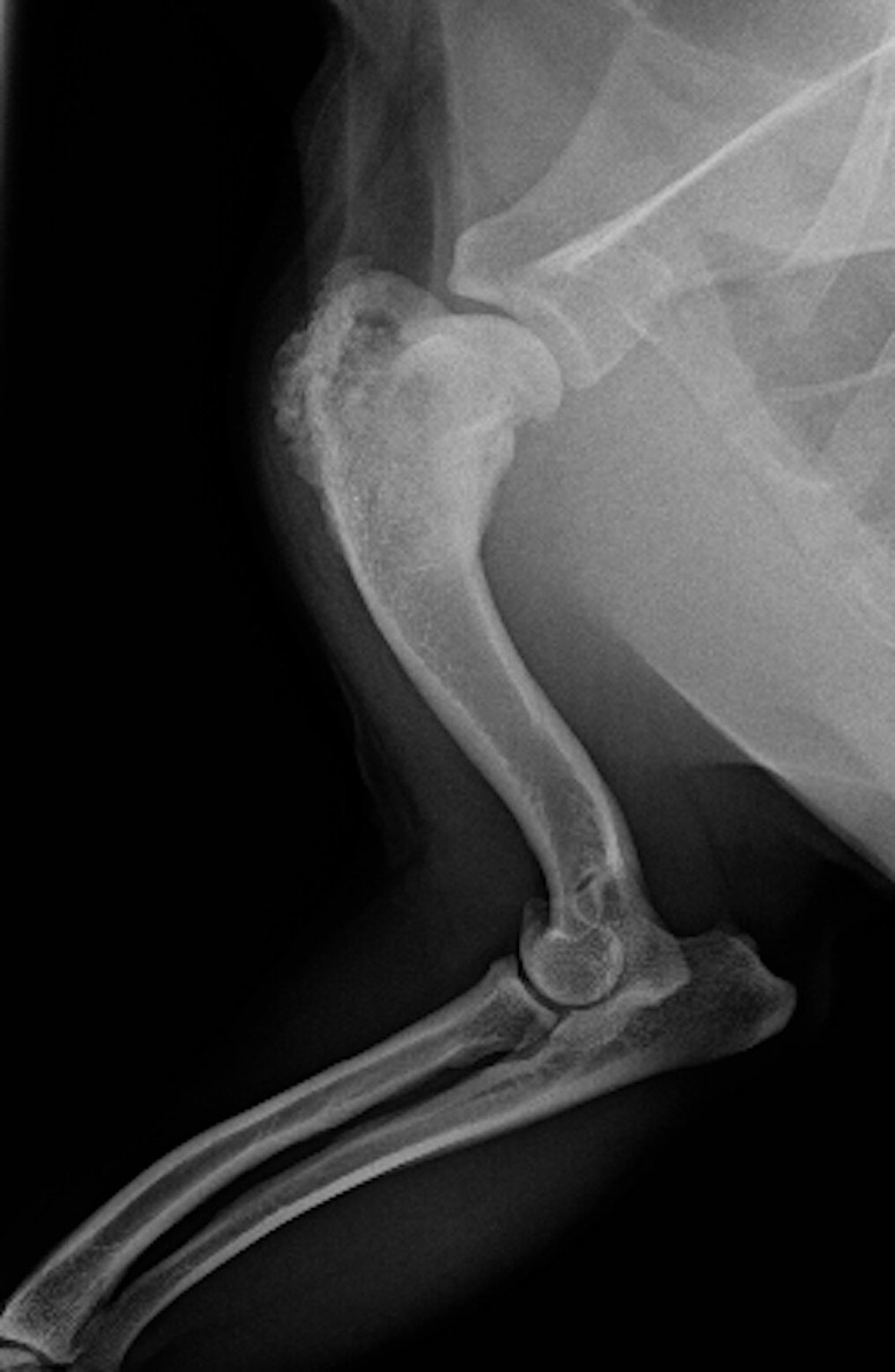
. How long does bone cancer take to kill a dog Tuesday July 12 2022 The average survival time in dogs with osteosarcoma treated with surgery and chemotherapy is. How long does a potentially splintering bone take to kill a. Bone tumors in dogs and cats can arise in any bone of the body including the long bones within limbs toes spinal vertebrae ribs and the skull.
Only a low dose enters the bloodstream. Survival times of approximately 1 year or about 10 of a lifetime are achievable for 50 of dogs with osteosarcoma treated. Bone cancer is also called osteosarcoma osteobones sarcomacancer and it is an aggressive type of cancer that develops on the dogs bones.
Potential causes of bone cancer The causes of canine osteosarcoma are unknown. Osteosarcomas do this frequently. It is the most common primary bone cancer in dogs and typically occurs in the leg.
This high local dose of cisplatin will kill the remaining cancer cells in the leg. This is the most common sign that the dying process has. Osteosarcoma is an aggressive cancer arising from the bone.
Eventually the limbs become so weak they will break and injure easily. Without treatment a dog diagnosed with osteosarcoma will succumb to the cancer in only one to two months. It can affect any dog and seems to be quite prevalent in larger breeds such as Irish wolfhounds greyhounds Rottweilers and great Danes.
In a period of three months the tumor can overtake the dogs limb and weaken it. Bone cancer in dogs can quickly spread to other organs. How can you tell if a dog is dying from cancer.
The Telltale Signs a Dog Is Dying 1 Prolonged LethargyDisinterest. Current theories include repeated minor traumas to the bone prior radiation genetic. How long do dogs live after being diagnosed with bone cancer.
Survival times of approximately 1 year or about 10 of a lifetime are achievable for 50 of dogs with osteosarcoma treated using the current standard of care 50 of. In short it is a malignant tumor of the bone. This cancer predominately affects large.
Primary bone cancers can become metastatic and spread to the rest of your dogs body. In fact in 80 of cases of osteosarcoma the cancer also. Radiation Therapy Osteosarcomas are very painful so if.
The Stages of Dog Cancer. These are important for veterinarians to know as some forms of cancer will have a good prognosis and respond to treatment while others may not. Does bone cancer in dogs spread quickly.
Once the bones break they will not.
The Pet Oncologist Vet Oncologist Online Blog Radiation Therapy For Dogs With Bone Cancer
Pin On German Shepherd Things For My German Shepherds
Bone Cancer In Dogs Innovet Pet
Learn About Osteosarcoma Bone Cancer In Dogs Petcure Oncology
Blog Referral Vets In Leeds Swift Referrals
Ever Wonder What Foods You Can Safely Give To Your Beloved Dogs Besides The Boring Dog Food You Feed Human Food For Dogs Healthy Dog Food Recipes Human Food
Signs Of Cancer In Dogs Whole Dog Journal
The Canine Cancer Crisis Whole Dog Journal
The Best Night Time Housetraining Routine For Dogs Dogtime Small Dog Breeds Dog Whisperer Tips Dog Breeds
The Crazy Looking Safer Alternative To A Tennis Ball That Dogs Are Going Nuts Over Dogs Assistance Dog Dog Seizures
Symptoms To Watch For In Your Dog Unexplained Bruising Dog Care Dog Insurance Dog Health Care
Liver Cancer In Dogs Innovet Pet
Pin On Dog Stuff Puppy Stuff Dog Hacks Accessories
Adipose Lipoma Tumors In Dogs Aurora Animal Clinic
Pets N More Caution Bones Can Kill Your Dog Find Out Which Ones Are Safe
Cancer Immunotherapy Veterinary Specialty Center


